تناول لحم الخنزير.. أشعة سينية تكشف تكاثر مخلوقات مرعبة داخل جسم مريض بريطاني

خطأ غير مقصود، إذ على ما يبدو تناول رجل بريطاني لحم الخنزير غير المطبوخ بشكل جيد، ولكن النتائج كانت مرعبة، إذ أظهرت الأشعة السينية مئات المخلوقات المرعبة التي تتكاثر داخل جسده في غزو طفيلي وفقًا لما صرح به الأطباء.
تناول لحم الخنزير النيء فكانت النتائج مرعبة
أظهرت صور أشعة سينية مرعبة جسد رجل مليئًا ببيض الدودة الشريطية بعد خطأ حيوي في المطبخ أدى إلى غزو طفيلي.
ونشر الدكتور سام غالي، طبيب الرعاية العاجلة من جامعة فلوريدا، على وسائل التواصل الاجتماعي صورة لمريض يعاني من علامات تدل على إصابته بعدوى طفيلية تسمى داء الكيسات المذنبة.
وهي حالة تحدث عندما تدخل الدودة الشريطية المسؤولة عن العدوى إلى جسم الإنسان من خلال تناول بيضها. ويمكن العثور على البيض في لحم الخنزير غير المطبوخ جيدًا.
ويقول الدكتور غالي، إن هذه الأشعة السينية بمثابة درس كبير “لبذل قصارى جهدك دائمًا للحفاظ على نظافتك وغسل يديك وعدم تناول لحم الخنزير النيء أو غير المطبوخ جيدًا أبدًا تحت أي ظرف من الظروف”.

وبمجرد تناولها، تشكل الديدان الشريطية أكياسًا متكلسة صلبة أو بيضًا ميتًا “زومبيًا” يمكن أن تشعر وكأنها كتل تحت الجلد، وتظهر مثل “حبة الأرز” في الفحوصات الطبية.
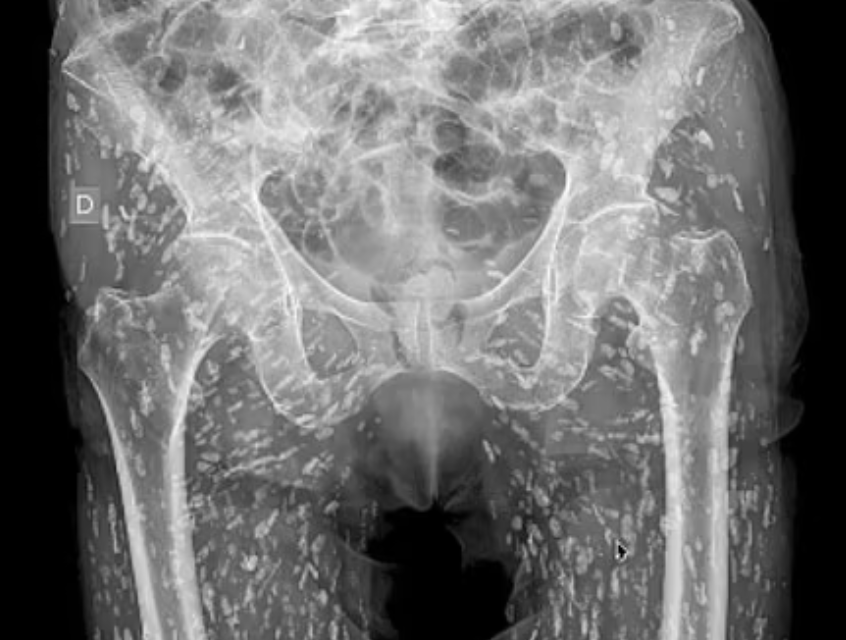
وفي الصورة التي شاركها الدكتور غالي، يمكن رؤية حوض رجل مرقط بمئات من هذه الأكياس المتكلسة.
اليرقات غير ضارة ولكن الخطر يكمن بحالة واحدة
أوضح الدكتور غالي أن اليرقات غير ضارة بشكل عام، ويرجع ذلك جزئيًا إلى أنها لا تنجو خارج الأمعاء. ومع ذلك، يمكن أن تسبب الأكياس مشاكل إذا تطورت في الدماغ.
ويقول الدكتور إن المريض الذي لم يذكر اسمه لم يكن على علم بوجود أكياس الديدان الشريطية في جسمه. وتم التقاط الأشعة السينية بعد سقوط – غير مرتبط، كان يسبب له آلام الورك. و
كما أوضح أنه بمجرد دخول بيض الدودة الشريطية إلى الجسم، يمكن أن تتطور إلى ديدان شريطية بالغة في أمعاء الناس. وفي مقال سابق على منصة X، حول حالة مماثلة، قال الدكتور غالي: “من المهم جدًا ملاحظة أنه فقط عندما يتم تناول هذه البيض عن طريق الانتقال من البراز إلى الفم، يمكن للمرء أن يصاب بالمتلازمة السريرية المعروفة باسم داء الكيسات المذنبة”.
ويحدث هذا الانتقال بشكل رئيسي من خلال الأشخاص المصابين الذين لا يغسلون أيديهم بشكل صحيح بعد استخدام المرحاض، على الرغم من أن البيض يمكن أن ينتقل أيضًا من خلال المياه الملوثة بالبراز.
وبمجرد تناوله بهذه الطريقة، تطلق البيض يرقات يمكن أن تنتقل إلى مجرى الدم وتنتهي في أماكن مثل العضلات أو الأعضاء الأخرى. وهنا يتم قتلها بواسطة جهاز المناعة في الجسم وتشكل أكياس صلبة.

ما هو خطر تلك اليرقات على الدماغ البشري؟
كشف الدكتور، أن خطورة تلك اليرقات عند الانتقال إلى الدماغ تبدأ من الصداع وتشمل الارتباك والدوار وتصل إلى حالة قاتلة محتملة تسمى استسقاء الرأس، وهي زيادة في السوائل في الدماغ. وعادة ما تكون الجراحة مطلوبة لإزالة الأكياس في هذه الحالات.
يمكن أن تسبب الأكياس أيضًا مشاكل إذا وصلت إلى العينين مسببة عدم وضوح الرؤية أو اضطرابها، وقد تؤدي إلى الإصابة بعدوى. وقد تتطور الأكياس نفسها بعد أشهر أو سنوات فقط من الإصابة الأولية ببيض الدودة الشريطية.
والدودة الشريطية التي يمكن أن تسبب “داء الكيسات المذنبة” هي نوع يسمى الشريطية الوحيدة، والمعروف أيضًا باسم دودة شريط لحم الخنزير.
وتقدر منظمة الصحة العالمية أن أكياس يرقات الشريطية الوحيدة التي تتطور في الدماغ مسؤولة عن ما يصل إلى 70 في المائة من حالات الصرع في بعض أجزاء العالم.
ويُعتقد أن حوالي 2.5 مليون شخص يصابون بالشريطية الوحيدة سنويًا، وغالبًا ما يكونون في المناطق الأكثر فقراً في آسيا وأمريكا الجنوبية وأوروبا الشرقية.
وأشار الدكتور غالي: “إن تشخيص داء الكيسات المذنبة جيد بشكل عام ولكن لسوء الحظ بعض الحالات مميتة”.

50 مليون شخص يصابون حول العالم كل عام
يُقدر أن حوالي 50 مليون شخص في جميع أنحاء العالم يصابون بالعدوى كل عام مما يؤدي إلى حوالي 50 ألف حالة وفاة. لذا فإن المغزى من القصة هنا هو بذل قصارى جهدك للحفاظ على نظافتك، وغسل يديك دائمًا، وعدم تناول لحم الخنزير النيء أو غير المطبوخ جيدًا أبدًا.
وفي حين أن الفحص الذي شاركه الدكتور غالي صادم، فقد تم تسجيل العديد من الحالات المماثلة في جميع أنحاء العالم. ويشمل ذلك إصابة شديدة شاركها طبيب في البرازيل في عام 2023.
ومثل الدكتور غالي، حذر الطبيب البرازيلي الناس: “لا تريد أن تصاب بها؟ اغسل طعامك جيدًا قبل تناوله”.





